Wat Zie Je Op Een Mri Scan

Oké, laten we het eens hebben over MRI-scans. Je weet wel, die enorme donutvormige machines waar je in moet schuiven. Het is een beetje alsof je in een high-tech broodrooster gaat liggen, maar dan eentje die je niet bruin bakt, maar je hersenen (of andere lichaamsdelen) fotografeert. Stel je voor: je bent uitgenodigd voor een fotoshoot, maar dan intern!
Maar wat zie je nou eigenlijk op zo'n MRI-scan? Is het gewoon een vage, grijze massa? Of is er meer aan de hand? Nou, gelukkig is het veel meer dan alleen een grijze blob. Het is als een gedetailleerde landkaart van je binnenste, en een dokter kan er superveel informatie uithalen. Laten we er eens induiken!
De basis: Grijstinten en Contrast
Denk aan een zwart-wit foto. Je ziet verschillende tinten grijs, toch? Zo is het ook met een MRI-scan. Verschillende weefsels in je lichaam hebben verschillende dichtheden en samenstellingen, en dat resulteert in verschillende grijstinten op de scan. Botten zijn bijvoorbeeld vaak donkerder, terwijl zachte weefsels zoals hersenen of spieren lichter kunnen zijn. Het is een beetje alsof je de belichting op een foto aanpast om bepaalde details beter te laten uitkomen.
Must Read
Maar het wordt nog interessanter! Soms gebruiken artsen een contrastmiddel. Zie dit als een soort interne highlighter. Je drinkt het (of krijgt het via een infuus), en het reist door je lichaam. Het contrastmiddel kan zich ophopen in gebieden met een ontsteking, tumoren of andere afwijkingen, waardoor die plekken oplichten op de scan. Het is net als een fluostift die verborgen berichten onthult!
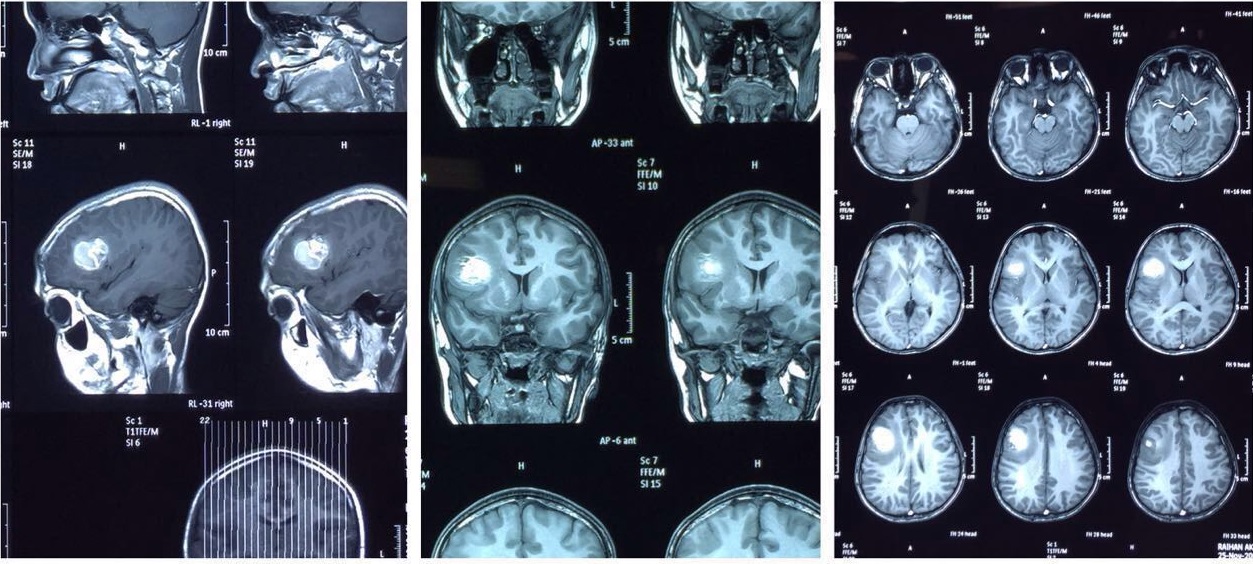
Wat kunnen doktoren ermee zien?
Hersenen: Een blik in de commandocentrale
MRI-scans zijn fantastisch voor het onderzoeken van de hersenen. Doktoren kunnen er allerlei dingen mee zien, zoals:

- Beschadigingen na een beroerte: Stel je voor dat er een klein kraantje in je hersenen lekt. Een MRI kan zien waar die lekkage is geweest en hoe groot de schade is.
- Tumoren: Die vervelende "groeisels" kunnen soms verstopt zitten. De MRI kan ze vaak opsporen, zelfs als ze nog klein zijn.
- Multiple sclerose (MS): Deze aandoening tast de beschermlaag rond zenuwen aan. Een MRI kan de beschadigde plekken (laesies) laten zien.
- Alzheimer: MRI kan helpen bij het vaststellen van de mate van hersenkrimping die gepaard gaat met deze ziekte. Het is alsof je een tijdmachine hebt om te zien hoe de hersenen zijn veranderd.
Een vriend van me, laten we hem even Jan noemen, had last van erge hoofdpijn. Na een MRI-scan bleek hij een kleine, goedaardige tumor te hebben. Niks ernstigs, maar het was wel de oorzaak van zijn klachten. Zonder de MRI had hij nog steeds met die hoofdpijn rondgelopen. Echt een gamechanger!
Spieren en gewrichten: Kijken onder de motorkap
MRI-scans zijn ook top voor het beoordelen van spieren, gewrichten, en banden. Denk bijvoorbeeld aan:
- Gescheurde kruisbanden: Voetballers opgelet! Een MRI kan precies laten zien hoe erg de schade is.
- Meniscusletsel: Nog zo'n bekende blessure. De MRI laat zien of de meniscus gescheurd, beschadigd of ingeklemd is.
- Spierverrekkingen en -scheuren: Heb je te hard gesport? De MRI laat zien welke spier het heeft begeven.
- Artritis: MRI kan de schade aan het kraakbeen en de ontsteking in de gewrichten in beeld brengen.
Mijn buurvrouw, Marieke, ging door haar enkel en dacht dat het wel mee zou vallen. Ze smeerde er wat zalf op en ging door met haar dag. Maar de pijn bleef. Na een MRI bleek ze een ernstige banden scheuring te hebben. Uiteindelijk heeft ze een operatie moeten ondergaan. De moraal van het verhaal: luister naar je lichaam en laat het onderzoeken als je twijfelt!

Organen: Binnenin kijken zonder te snijden
MRI kan ook gebruikt worden om organen te onderzoeken, zoals de lever, nieren, hart, en baarmoeder. Denk aan:
- Tumoren in de lever of nieren: MRI kan ze opsporen en de grootte en verspreiding beoordelen.
- Afwijkingen aan het hart: MRI kan de structuur en functie van het hart in beeld brengen.
- Endometriose: MRI kan helpen bij het diagnosticeren van deze aandoening, waarbij baarmoederslijmvlies buiten de baarmoeder groeit.
Een collega van me had last van buikpijn. Na allerlei onderzoeken, waaronder een MRI, bleek ze endometriose te hebben. Eindelijk een diagnose! En ze kon beginnen met de juiste behandeling. MRI: de Sherlock Holmes van de geneeskunde!

Het 'enge' geluid: Waarom maakt een MRI zoveel herrie?
Oké, laten we het hebben over dat vreselijke geluid. Je ligt daar, in die tunnel, en dan begint het: Bonken, piepen, kloppen, alsof er een rave party in de machine plaatsvindt. Waar komt dat vandaan? Het antwoord is: magneten! De MRI maakt gebruik van sterke magnetische velden en radiogolven om beelden te maken. Die magneten worden heel snel aan en uit gezet, en dat veroorzaakt die vreemde geluiden. Het is een beetje alsof je een gigantische koelkast hebt die heel hard aan het werk is. Gelukkig krijg je meestal oordopjes of een koptelefoon om het geluid te dempen.
Conclusie: Meer dan alleen een plaatje
Dus, wat zie je op een MRI-scan? Veel meer dan alleen een vage, grijze massa! Het is een schatkaart vol informatie die dokters kunnen gebruiken om diagnoses te stellen, behandelingen te plannen, en je gezondheid te verbeteren. Dus de volgende keer dat je in die "broodrooster" schuift, bedenk dan dat je niet alleen een fotoshoot ondergaat, maar dat je ook een waardevolle bijdrage levert aan je eigen gezondheid. En onthoud: oordopjes zijn je beste vriend!
Een MRI-scan is dus niet zomaar een plaatje. Het is een krachtig instrument dat artsen helpt om een kijkje in je lichaam te nemen zonder dat ze je hoeven open te snijden. Het is een beetje alsof je een superkracht hebt gekregen om door muren (of in dit geval, door weefsels) te kijken. En wie wil dat nou niet?
