Cavum Douglasi Spoortje Vrij Vocht

Het studentenleven is een reis. Een avontuur vol ontdekkingen, uitdagingen en momenten van pure vreugde. We leren over complexe theorieën, analyseren historische gebeurtenissen en oefenen vaardigheden die ons voorbereiden op de toekomst. Maar soms, tussen de dikke boeken en de lange nachten, kunnen we het grote geheel uit het oog verliezen. Laten we daarom stilstaan bij iets wat misschien vreemd lijkt, maar ons waardevolle lessen kan leren: Cavum Douglasi Spoortje Vrij Vocht.
Wat is dat, eigenlijk?
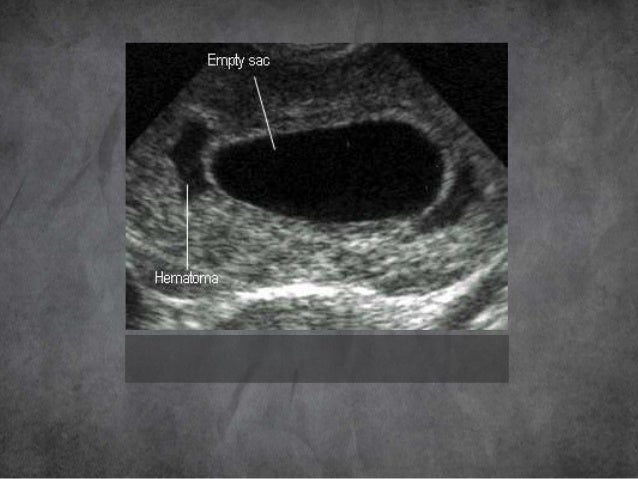
Misschien heb je deze termen al eens gehoord in de context van geneeskunde of biologie. Het Cavum Douglasi is een anatomische ruimte in het menselijk lichaam, een soort 'zak' in de buikholte. Het 'Spoortje Vrij Vocht' verwijst naar een kleine hoeveelheid vloeistof die daar soms aanwezig is. In de medische praktijk kan dit een signaal zijn, iets wat verder onderzocht moet worden. Maar laten we de medische details even loslaten en kijken naar de metaforische waarde.
Een teken van leven en verandering
Zie het Spoortje Vrij Vocht als een teken van leven en verandering. Net zoals vloeistof zich verzamelt in het Cavum Douglasi, zo verzamelen zich ook ervaringen, kennis en emoties in ons 'innerlijke Cavum Douglasi', in onze geest en ons hart. Elke les die we leren, elke uitdaging die we overwinnen, elke vriendschap die we sluiten, laat een 'spoor' achter. Deze sporen vormen ons, ze maken ons tot wie we zijn.
Must Read
Soms is dit 'vocht' helder en puur – momenten van succes, van inzicht en van liefde. Andere keren kan het troebel zijn – teleurstellingen, frustraties, twijfels. Maar net als in de geneeskunde, is het belangrijk om niet alleen naar de hoeveelheid te kijken, maar ook naar de betekenis. Wat proberen deze 'sporen' ons te vertellen?
Reflectie als instrument
Het studentenleven is vaak hectisch, een race tegen de klok. Maar neem de tijd voor reflectie. Sta stil bij wat je leert, niet alleen in de collegezaal, maar ook daarbuiten. Vraag jezelf af:

Wat zijn de 'Spoortjes Vrij Vocht' in mijn leven op dit moment? Wat leren ze me? Hoe kan ik groeien van deze ervaringen?
Reflectie is als het interpreteren van een medisch rapport van je eigen leven. Het helpt je om signalen te herkennen, patronen te ontdekken en de juiste beslissingen te nemen. Het is een instrument voor zelfverbetering en persoonlijke groei.
Omarm de onzekerheid
Soms weet je niet precies wat de 'Spoortjes Vrij Vocht' betekenen. Dat is oké. Onzekerheid is een natuurlijk onderdeel van het leerproces. Het is de ruimte waar nieuwe ideeën en perspectieven kunnen ontstaan. Omarm de onzekerheid, wees nieuwsgierig en blijf vragen stellen.

Denk aan het Cavum Douglasi als een kompas. Het wijst je niet altijd de weg, maar het geeft je wel een richting. Door te luisteren naar de signalen, door te reflecteren op je ervaringen, kun je je eigen koers bepalen en je eigen, unieke pad bewandelen.
Moed en doorzettingsvermogen
Het studentenleven is niet altijd makkelijk. Er zullen momenten zijn van twijfel, van frustratie en van tegenslag. Maar onthoud dat elke uitdaging een kans is om te groeien. Net zoals een arts de juiste behandeling zoekt voor een patiënt, zo moet je ook zelf de juiste aanpak vinden om met moeilijkheden om te gaan.

Zoek steun bij vrienden, familie en docenten. Deel je zorgen en je successen. Samen kunnen jullie de 'Spoortjes Vrij Vocht' interpreteren en elkaar helpen om verder te komen. Heb moed om nieuwe dingen te proberen, om fouten te maken en om te leren van je fouten.
Het Cavum Douglasi Spoortje Vrij Vocht, zo vreemd als het klinkt, kan ons eraan herinneren dat het leven een continue leerproces is. Een proces van groei, verandering en ontdekking. Blijf nieuwsgierig, blijf reflecteren en blijf geloven in jezelf. Je bent op de goede weg.
